El plàncton

octubre 23, 2019

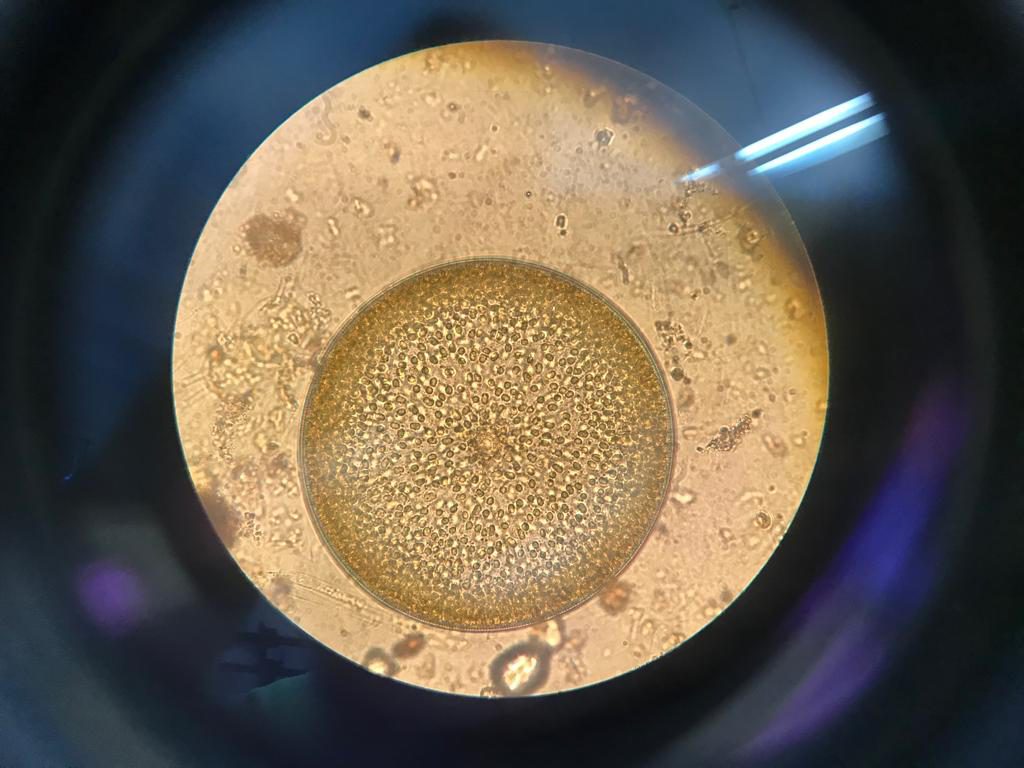
Matí d’observació i descobertes a l’Escola del Mar. Els infants de 5è hem après a identificar els organismes que formen el plàncton i hem pogut estudiar el zooplàncton i el fitoplàncton a través del microscopi. La natura és fascinant!

Nova jornada de treball compartitEl Tinkering i els errors